
SCOOBY es un perro mestizo, macho no castrado de 10 años de edad, que acude a la clínica de Guadacorte con un fuerte episodio de dolor abdominal y sin apetito. Nos dicen, además, que ha estado comiendo un pienso de baja calidad durante un largo periodo de tiempo, hasta que por un episodio de alergia se le recomendó un pienso especial para tratar la misma.
Después de revisar completamente a Scooby, nos cercioramos del fuerte dolor abdominal que efectivamente presenta. La auscultación es aparentemente normal y su temperatura de 38,4ºC. Se le recomienda la realización de radiografías de abdomen y columna (para descartar una posible discoespondilitis).
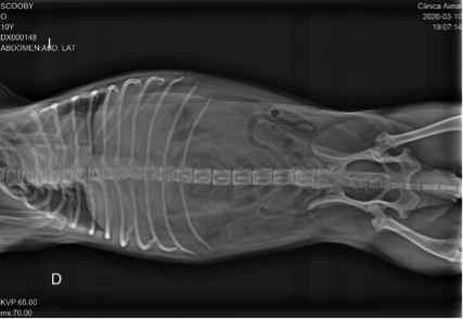
Observamos que la columna es aparentemente normal, pero podemos ver urolitos en la vejiga de la orina.

Para complementar el estudio, realizamos una ecografía abdominal en la cual podemos determinar la situación de los cálculos y el tamaño de los mismos. Vemos, además, un aumento en el tamaño de la próstata con aparición de pequeños quistes.

Se le realiza también un urianálisis de sedimento y tira de orina, donde aparece un pH 8 (alcalina). En la observación del sedimento al microscopio podemos ver cristales de estruvita.

Se programa una cirugía urgente debido al fuerte dolor que acusa el paciente, con el fin de poder extraer las piedras mediante una cistostomía.

Aprovechamos además el procedimiento para realizar una orquiectomía (castración), con el fin de intentar controlar la hiperplasia prostática, encontrando además que uno de los dos testículos presentaba una tumoración interna.

Con este caso clínico podemos comprobar la gran importancia de la castración temprana en perros, ya que evitaríamos ambas patologías: tanto la hiperplasia prostática como la aparición de tumores testiculares.
Del mismo modo, es un claro ejemplo también de la gran importancia de dar a nuestras mascotas un pienso de buena calidad y análisis de orina preventivos cada cierto tiempo, con el fin de descartar la presencia de cristales en la orina o infecciones.
En este momento, Scooby se encuentra recuperándose en casa del proceso quirúrgico, con tratamiento Antibiótico, Antiinflamatorio y collar isabelino. Siendo de gran importancia la modificación de su dieta a un pienso Urinario, con el cual conseguiremos acidificar la orina con el fin de diluir los cristales presentes en la misma, de esta manera conseguiremos evitar la formación de nuevos cálculos.


